Medical Encyclopedia

Medical Encyclopedia

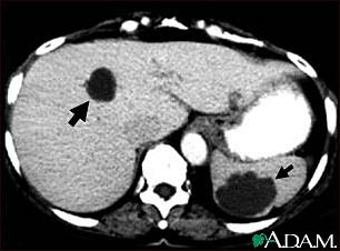
Liver and spleen cysts - CT scan

Liver and spleen cysts - CT scan

This abdominal CT scan shows multiple cysts in the liver and spleen. Note the dark circular cyst in the liver (left side of screen) and the large, irregular, circular cyst in the spleen (bottom, right side of screen).

Update Date: 8/14/2007

Updated by: Charles Silberberg, DO, Private Practice specializing in Nephrology, Affiliated with New York Medical College, Division of Nephrology, Valhalla, NY. Review provided by VeriMed Healthcare Network.

A.D.A.M. Logo

The information provided herein should not be used during any medical emergency or for the diagnosis or treatment of any medical condition. A licensed physician should be consulted for diagnosis and treatment of any and all medical conditions. Call 911 for all medical emergencies. Links to other sites are provided for information only -- they do not constitute endorsements of those other sites. Copyright 1997-2009, A.D.A.M., Inc. Any duplication or distribution of the information contained herein is strictly prohibited.