Medical Encyclopedia

Medical Encyclopedia

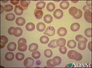
Malaria, microscopic view of cellular parasites

Malaria, microscopic view of cellular parasites

Malaria is a disease caused by parasites that are carried by mosquitoes. Once in the bloodstream, the parasite inhabits the red blood cell (RBC). This picture shows purple-stained malaria parasites inside red blood cells.

Update Date: 6/20/2007

Updated by: Arnold L. Lentnek, MD, Division of Infectious Disease, Kennestone Hospital, Marietta, GA. Review provided by VeriMed Healthcare Network.

A.D.A.M. Logo

The information provided herein should not be used during any medical emergency or for the diagnosis or treatment of any medical condition. A licensed physician should be consulted for diagnosis and treatment of any and all medical conditions. Call 911 for all medical emergencies. Links to other sites are provided for information only -- they do not constitute endorsements of those other sites. Copyright 1997-2009, A.D.A.M., Inc. Any duplication or distribution of the information contained herein is strictly prohibited.