![]() | ![]() | ![]() |
| | ||
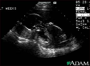
Ultrasound, normal fetus - profile view

This is a normal fetal ultrasound performed at 17 weeks gestation. In the middle of the screen, the profile of the fetus is visible. The outline of the head can be seen in the left middle of the screen with the face down and the body in the fetal position extending to the lower right of the head. The outline of the spine can be seen on the right middle side of the screen.
Update Date: 1/24/2008 Updated by: Benjamin Taragin, M.D., Adjunct Professor of Radiology, Columbia Presbyterian School of Medicine, New York, NY, and Attending Radiologist, St. Joseph's Hospital, Paterson, NJ. Review provided by VeriMed Healthcare Network. Also reviewed by David Zieve, MD, MHA, Medical Director, A.D.A.M., Inc.
