![]() | ![]() | ![]() |
| | ||
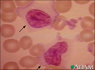
Mononucleosis, photomicrograph of cell

This picture shows large, atypical lymphocytes (white blood cells). These cells are seen in viral infections, most commonly caused by the Epstein-Barr virus (infectious mononucleosis), cytomegalovirus diseases, and occasionally infectious hepatitis. This is an example of a type I Downy cell.
Update Date: 9/17/2008 Updated by: David C. Dugdale, III, MD, Professor of Medicine, Division of General Medicine, Department of Medicine. University of Washington School of Medicine; and Jatin M. Vyas, PhD, MD, Instructor in Medicine, Harvard Medical School, Assistant in Medicine, Division of Infectious Disease, Massachusetts General Hospital. Also reviewed by David Zieve, MD, MHA, Medical Director, A.D.A.M., Inc.
