Medical Encyclopedia

Medical Encyclopedia

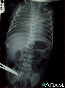
Totally anomalous pulmonary venous return, X-ray

Totally anomalous pulmonary venous return, X-ray

Totally anomalous pulmonary venous return (TAPVR) is a form of congenital heart disease.

Update Date: 12/10/2007

Updated by: David Zieve, MD, MHA, Medical Director, A.D.A.M., Inc.; and Mark A Fogel, MD, FACC, FAAP, Associate Professor of Pediatrics and Radiology, Director of Cardiac MR, The Children's Hospital of Philadelphia.

A.D.A.M. Logo

The information provided herein should not be used during any medical emergency or for the diagnosis or treatment of any medical condition. A licensed physician should be consulted for diagnosis and treatment of any and all medical conditions. Call 911 for all medical emergencies. Links to other sites are provided for information only -- they do not constitute endorsements of those other sites. Copyright 1997-2009, A.D.A.M., Inc. Any duplication or distribution of the information contained herein is strictly prohibited.