Medical Encyclopedia

Medical Encyclopedia

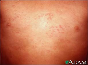
Hives (urticaria) on the chest

Hives (urticaria) on the chest

The hives (urticaria) on this person's chest have the typical slightly-raised red appearance and are accompanied by itching. Hives can be generalized over the entire body or may be localized.

Update Date: 4/12/2007

Updated by: Kevin Berman, MD, PhD, Associate, Atlanta Center for Dermatologic Disease, Atlanta, GA. Review provided by VeriMed Healthcare Network.

A.D.A.M. Logo

The information provided herein should not be used during any medical emergency or for the diagnosis or treatment of any medical condition. A licensed physician should be consulted for diagnosis and treatment of any and all medical conditions. Call 911 for all medical emergencies. Links to other sites are provided for information only -- they do not constitute endorsements of those other sites. Copyright 1997-2009, A.D.A.M., Inc. Any duplication or distribution of the information contained herein is strictly prohibited.